Behandlung
Zahnerhaltung
Prophylaxe
Endodontie
Parodontologie
Zahnersatz
Implantologie
Oralchirurgie
Digitales Röntgen
Bleaching
Kinderbehandlung
Team
Kontakt
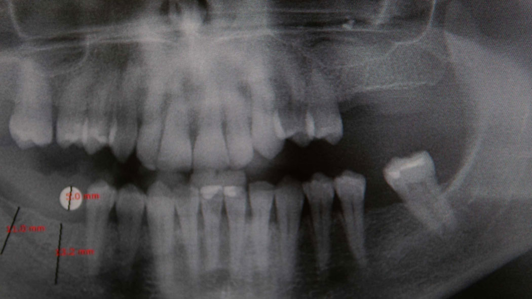
Digitales Röntgen
Ob Kleinbilder einzelner Zähne oder ein Orthopantomogramm (OPG) aller Zähne - die Bilder stehen uns innerhalb kürzester Zeit digital zu Verfügung. Einzelne Aufnahmen können wir bequem für Sie in jedem Zimmer sofort am Stuhl anfertigen.
carousel
zum vorherigen Slide springen
Zahnerhaltung
Prophylaxe
Endotontie
Parodontologie
Zahnersatz
Implantologie
Oralchirurgie
Digitales Röntgen
Bleaching
Kinderbehandlung
zum nächsten Slide springen
Zahnarztpraxis Till Politz - Website ohne Cookies